牙齿被龋坏有牙洞之后要及时修补,否则龋坏越来越深最终导致整个牙齿被蛀掉。人们对于补牙洞比较关心的就是补牙洞的价格,这是很多想补牙的人都想知道的。下面就请医生详细介绍一下补牙洞的费用。
医生表示,一般来说目前并没有具体固定的收费标准。具体补牙费用多少,根据每个人情况的不同而有所差异。补牙的费用一般受到以下因素的影响:

一、补牙的材料
补牙洞时患者选择的补牙材料也对补牙的价格费用产生很大的影响。由于不同的材料其成本不同、优缺点不同,在补牙时需要使用的技术和设备也会有所不同,这些就导致了选择不同的补牙材料费用不同。【立即咨询】

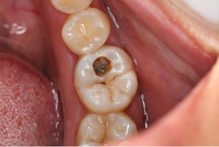
二、牙齿损坏的程度
牙洞的大小与补牙的费用有很大的联系,例如牙洞越大,补牙用到的材料会比较多,费用费用自然就越高;相反地,牙洞越小,补牙用到的材料会比较少。费用就越低。所以,当牙洞比较小的时候应该要及时治疗,因为随着时间的推移,牙洞会越来越大,补牙的费用也越来越高。

另外,贝臣齿科提醒大家,补牙一定要到正规专业的医疗机构并且选择补牙技术好的医生,这样补一颗牙能用几年或是十几年,而不是使用半年或一年后就出现补牙材料脱落的情况。
贝臣齿科成为医保定点单位 收费合理透明
贝臣齿科一直坚持着"医有道,贝臣心"的品牌理念,不仅以行医者之大道为己任,而且始终把顾客满意度作为衡量一切工作的准则,通过不断提高自身医疗技术和服务水平,使得医院诊疗规范、医疗质量、收费标准等多方面有效达到福州市医保的要求,成为福州地区实现医保定点的口腔医院,为老百姓解决了“看病难,看病贵”的问题。
温馨提示:如果您遇到了口腔科方面的疑问或困惑,或者您以及您的家人出现了口腔健康问题、彷徨无助需要得到关心与帮助时,可以【点击咨询】或拨打24小时免费热线:0591-88681777。
在线咨询(免费咨询)在线近距离