想要具体了解牙齿大量缺失怎么办?
点击【在线咨询】直接问医生!方便!快捷!牙齿是口腔的门户,同时也支撑着面部的形态,如果牙齿大量缺失,不但会对我们的日常生活造成影响,还会严重影响面部的形象。那么,牙齿大量缺失改怎么办呢?
医生介绍称,对于牙齿大量缺失的顾客而言种植牙无无疑是更好的选择。人工种植牙术,对于大量牙缺失的情况,可根据颌骨情况,植入数枚或十几枚植体,恢复牙齿的美观性和功能性。种植牙因其舒适、美观、咀嚼力好、固位力强,堪比真牙,被誉为“人类的第三幅牙齿”,也是是目前牙齿缺失修复的先进手段。
直接与医院在线医师一对一通话,方便!快捷!了解详情就医指导。

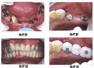
【种植牙案例解析】
黄老太太年过70,满嘴牙差不多就快要掉光了。剩下还没掉的几颗,也是"摇摇欲坠"、"朝不保夕"。
缺牙给黄老太太的晚年生活来带来很多痛苦。首先是咀嚼功能基本丧失,平时只能吃一些特别软的食物和饮用流质食物,很多以前喜爱的美食都吃不动了,这对于特别喜爱美食的黄老太太来说,实在是一种折磨。
不仅如此,咀嚼功能的丧失,还导致更加严重的后果:由于平时吃东西基本都是囫囵吞枣地吃下去,没有经过牙齿咀嚼,这大大加重了胃的负担,时间一久,黄老太太便患上了胃疼的毛病。去医院检查,医生告诉她已经得了很严重的胃溃疡,如果不及早施治,甚至有可能发展成胃癌。
这可把黄老太太一家人都吓坏了,一边给黄老太太治疗胃溃疡,一边还要想办法解决黄老太太的牙齿问题。经过打听得知贝臣齿科种植牙能有效解决牙齿大量缺失的问题,且效果很好,于是就带着老太太来到了贝臣齿科,种植医生通过拍片检查后为黄老太太进行了微创微痛种植牙,种植牙后,老太太的胃口好了,精神好了,胃病也好了!
【微创微痛种植牙技术解析】
微创种植牙术将微创微痛外科术、现代3D数码成相术和国际五大种植系统完美结合,开创齿科修复新时代,并以其具有的坚固稳定、效果持久等多重优势。让种植牙彻底告别疼痛,手术操作简单快捷。
种植牙术优势:
点这里,直接预约医生!方便快捷!
1、功能强:能很好地恢复牙齿功能,咀嚼功能大大优于其他传统假牙。
2、不磨牙:依靠自身的人工牙根进行修复,不用磨旁边的健康牙齿,对牙齿没有任何伤害。
3、固位好:不使用传统镶牙的卡环或牙套,人工牙根牙槽骨紧密结合,像真牙一样扎根在口腔里,具有很强的固位力与稳定性。
4、美观:可以根据就诊者的脸型、其他牙齿的形状与颜色制作牙冠,达到整体协调和美观的佳效果。
5、舒适方便:不使用活动假牙必需的基托与卡环,没有异物感,非常舒适、方便,而且有利于保持口腔的清洁卫生。
6、微痛快速:种植牙手术是一个较小的牙槽外科手术,类似拔牙,采用局部麻醉,创伤小,术后即可进食,几乎微痛苦。
在线咨询(免费咨询)在线近距离