后牙修复用种植牙更牢靠
来源:贝臣齿科
2016-12-22 15:40
进入答疑区

  想要具体了解后牙修复用种植牙更牢靠 点击【在线咨询】直接问医生!方便!快捷!种植牙对后牙修复很好好处,后牙修复用种植牙更牢靠,这是种植牙的特点。关于种植牙修复后牙好不好,贝臣齿科医生介绍:后牙修复用种植牙更牢靠,因为人工种植牙相比传统的假牙可以戴得更稳定、可靠。患者可以愈加的自在,不必担忧假牙会忽然掉落。贝臣齿科微创术,其微创性及精细化在世界种植域开创先河,摆脱了传统种植牙繁琐低效的步骤,大大缩短了种植所需的时间,全口种植仅需30分钟,不仅先中国传统的种植牙技术,更是超越了欧美的种植术。直接与医院在线医师一对一通话,方便!快捷!了解详情就医指导。
 


 

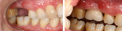
  人工种植牙就是在缺失牙区用手术方式,将一种人工资料的牙根(种植体)种植入牙槽骨内,36个月后,再在上面装上与真牙同样质料的瓷牙冠。
 

  成功的种植牙不只形状逼真、美观、舒适,而且稳定、可靠、耐久,不伤邻牙,其咀嚼功用和真牙一样。但种植牙的成败取决于能否在36个月这一“过渡期”里防止牙齿呈现创伤性松动,防止接受撞击力,这些都是十分关键的。同时仍要防止吃过硬的食物。
 

  种植牙修复后牙好,但种植牙也需维护,种植牙的维护方法,下面贝臣齿科给予维护技巧指导:点这里,直接预约医生!方便快捷!
 

  首先,一定要对种植牙的四周进行特殊的种植体洁治和四周自然牙进行惯例洁治,以免细菌、病毒等毁坏牙齿。
 

  其次,由于种植牙与自然牙的磨耗速度不同,能够会形成牙合创伤,所以,要对种植牙定期进行协调处置,以顺应不时变化的牙合关系。
 

  另外,还有必要定期检查种植牙的各个部件能否出了缺点,以便及时修缮。
 

  后牙修复用种植牙更牢靠,这是由种植牙自身的优点决定种植牙修复后的效果,后牙用于咀嚼,因此后牙要坚固,种植牙就是能满足这方面的好方法。
 


 

  种植牙是一项高科技牙齿修复术,对于口腔医院、医师实力、医院设备都有很高的要求,因此,选择一家专业正规的口腔医院才是王道。贝臣齿科微创种植牙术,为广大朋友解决了众多牙齿缺失的问题,微创种植牙术研究院是中国家口腔种植专项研究机构,成立后将致力于推广适合亚洲人口腔种植的微创种植术,推动微创种植牙普及和医生水平提升,为提高广大缺牙患者的生活质量提供优质的医疗服务和保障。 还有不明白的,点击免费咨询,或者拨打24小时贝臣美牙热线0591-88681777咨询,贝臣齿科医生为您解答!

温馨提示:
病情因人而异,以上信息仅供参考,请您一定到专业正规医院,接受医生的诊断与治疗。贝臣齿科提供网络咨询预约平台,可以向在线人员咨询您的情况。

在线咨询预约医生

在线咨询(免费咨询)在线近距离

点击右侧按钮查看其它视频
点击右侧按钮查看其它视频

24H免费咨询电话

贝臣节假日无休

福州贝臣齿科 — 专做口腔

福州贝臣齿科是卫生部门批准成立的专业口腔诊疗机构。在全国各大城市CBD商务核心区...[详细]

推荐医生

  • 阿诺德·马丁贝臣齿科(中

  • 穆素花贝臣世茂院技

  • 林劲松贝臣世茂院牙

  • 陈振林贝臣世茂院正

  • 阿诺德·马丁贝臣齿科(中

  • 穆素花贝臣世茂院技

  • 林劲松贝臣世茂院牙

  • 陈振林贝臣世茂院正

口腔热门项目推荐

  • 牙齿种植
  • 牙齿矫正
  • 牙齿修复
  • 牙齿美白
  • 无痛治疗
  • 儿童齿科

来院路线

来院路线
地址:福州世茂国际中心1号楼3层(地铁茶亭站D出口)