种植牙的好处与危害 你又了解多少呢?
来源:贝臣齿科
2017-01-02 14:54
进入答疑区

  想要具体了解种植牙的好处与危害 你又了解多少呢 点击【在线咨询】直接问医生!方便!快捷!种植牙是指以种植材料埋植到牙槽骨内(种植体),再在其上做假牙的一种假牙修复方法。并不是真的种上一棵或几棵与天然牙一样的牙齿,但是种植牙术无疑也是现如今受欢迎的牙齿修复术,对于牙齿缺失或者脱落患者来讲,种植牙的确是一个比较理想的选择。那么,关于种植牙您了解多少呢?直接与医院在线医师一对一通话,方便!快捷!了解详情就医指导。
 


 

  种植牙的优势
 

  一、不伤及邻牙。健康的牙齿可以完全保留,不需要磨掉邻近健康的牙齿。点这里,直接预约医生!方便快捷!
 

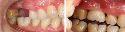
  二、真假难辨美观舒适。外型美观,就象天生牙齿一般,说话时面部表情就象原来一样自然,增加您的自信心。
 

  三、稳固牢靠功能持久。稳固的人工牙根可增加舒适感,能像正常牙齿一样承受咀嚼力量,并具有极好的固位力,在功能和美观上几乎和自然牙一样。
 


 

  种植牙不当的危害
 

  一、感染。种植牙是一项手术,对卫生条件会有要求。如果患者没有选择正规医院进行种植牙的操纵,那么可能会有感染的危害。
 

  二、伤口张开。出现这种情况,是由于在种植牙的时候,缝合过紧过松而导致的。解决危害的方法是,及时清创,再次缝合,才可以幸免种植体暴露。
 

  三、出血。种植牙是一种微创手术,种完牙齿后,一般是不会出血的。如果种植牙术不到位对牙周组织还是有一定的损伤,特别是术后压迫不良,均易发生粘膜下皮下出血。
 

  四、牙龈增生。多由种植体与桥架联接不良所致。易导致局部卫生状不良,发生长期的慢性炎性刺激,后的结果就是牙龈增生。

温馨提示:
病情因人而异,以上信息仅供参考,请您一定到专业正规医院,接受医生的诊断与治疗。贝臣齿科提供网络咨询预约平台,可以向在线人员咨询您的情况。

在线咨询预约医生

在线咨询(免费咨询)在线近距离

点击右侧按钮查看其它视频
点击右侧按钮查看其它视频

24H免费咨询电话

贝臣节假日无休

福州贝臣齿科 — 专做口腔

福州贝臣齿科是卫生部门批准成立的专业口腔诊疗机构。在全国各大城市CBD商务核心区...[详细]

推荐医生

  • 阿诺德·马丁贝臣齿科(中

  • 穆素花贝臣世茂院技

  • 林劲松贝臣世茂院牙

  • 陈振林贝臣世茂院正

  • 阿诺德·马丁贝臣齿科(中

  • 穆素花贝臣世茂院技

  • 林劲松贝臣世茂院牙

  • 陈振林贝臣世茂院正

口腔热门项目推荐

  • 牙齿种植
  • 牙齿矫正
  • 牙齿修复
  • 牙齿美白
  • 无痛治疗
  • 儿童齿科

来院路线

来院路线
地址:福州世茂国际中心1号楼3层(地铁茶亭站D出口)