想要具体了解后牙缺失怎么修复好?
点击【在线咨询】直接问医生!方便!快捷!后牙主要是指我们的大牙,即磨牙,对咀嚼来说起到很大的作用。很多人在牙齿缺失之后不以为意,认为没有什么大的影响,这是大错特错的。后牙缺失也要及时修复,那么,后牙缺失怎么修复好?

后牙对于饮食的重要作用
后牙的作用是很大的,对于我们来说至关重要。因为其他牙齿只是对饮食起到一定的辅助作用,真正起到核心作用的,那还要数后牙,即先进磨牙和第二磨牙。咱们不管吃什么东西,都是很难离开自己的后牙的,因此如果后牙缺失了,必须进行修复。
点这里,直接预约医生!方便快捷!
一旦后牙缺失,我们肯定要想着怎么去治疗,因为越早修复,那么成本越低,治疗的难度也越小。根据调查数据显示,大约八成人的日常饮食都严重受到缺牙影响,但是很多人都没有太在意,一直拖延不治,导致自己之后牙齿修复的难度增大,选择的空间也不是那么大了。
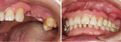
后牙缺失之后如何修复
后牙缺失怎么修复好?现在修复牙齿缺失的三大主要方法中,有一些是很受欢迎的,让缺牙患者重新拥有健康的牙齿。传统的活动假牙和烤瓷牙是不太符合要求的,因为活动假牙对饮食的帮助很小,特别是在多颗牙齿缺失的情况下。而烤瓷牙属于固定假牙,情况稍好一些,但是也有很多弊端,比如要磨掉换牙两侧的好牙,因此,它们的修复效果都不如种植牙。
种植牙之所以较适宜用于后牙修复,是由它本身的诸多优势决定的。牙齿缺损或缺失的患者,都渴望自己的义齿能够坚固耐用、一定程度上媲美真牙,种植牙恰恰能满足这些要求。用种植牙修复后牙,不仅更为美观,较重要的是更为坚固。即使在种牙多年之后,只要维护得当,种植牙还能保持着良好的咀嚼力,啃起蟹壳毫不费力,可见种植牙的牢固程度。
关于后牙缺失问题,我们应该有了一定的了解了。种植牙是较好的方式,安全、美观更持久,如今选择做种植牙的人越来越多,当然,是否能做种植牙,还要检查之后才能得知。
还有不明白的,点击免费咨询,或者拨打24小时贝臣美牙热线0591-88681777咨询,贝臣齿科医生为您解答!
在线咨询(免费咨询)在线近距离