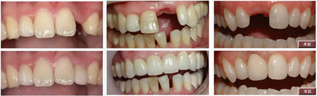
想要具体了解做种植牙后注意事项?>>>点击【在线咨询】直接问医生!方便!快捷!种植牙是人们喜爱的一种牙齿修复方式,其术后护理也尤为重要。那么做种植牙后注意事项有哪些呢?

种植牙后注意事项
1、术后24小时勿动种植区的牙齿,以免刺激伤口。平常应保持良好的口腔卫生,养成每天早晚各刷一次牙的习惯,饭后可以用漱口水冲漱,防止伤口感染。
2、注意口腔卫生,饭后及时漱口,也可用药液漱口,每天早晚用软毛刷或棉花条清洗种植体基台一次。>>>点这里,直接预约医生!方便快捷!
3、不要吸烟,以免影响牙槽骨和软组织的愈合;种植牙患者不要用舌头舔舐、吸吮,用手摸伤口。
4、不要食用过硬的食物,尽量减少种植区周围肌肉的运动,术后的三个月内尽量不要大笑、频繁讲话等,以防腮部过分运动而出现伤口撕裂。
5、经常观察种植体及创口的情况,一旦发现问题,及时向医生反映。
6、认真执行医嘱,定期回医院复诊。
Bicon种植技术安全微痛,整个治疗操作过程非常简单,局部麻醉创伤小,术后即可进食;舒适美观,牙齿整体协调,塑造出漂亮的牙龈美学,口感非常舒适,咀嚼功能优于传统假牙;坚固耐用,提供很好的牙龈支撑,实现了美学修复,具有很强的固位力及稳定性,使用年限高达44年。【立即咨询】

从事牙齿种植临床工作十余年,在牙齿种植方面拥有扎实的医学基础理论知识和丰富的临床经验,掌握多种主流种植系统使用方法,以及复杂病例的系统性治疗以及种植修复等。
擅长:牙种植,种植后期固定义齿、覆盖义齿修复等。
在线咨询(免费咨询)在线近距离