想要具体了解种植牙修复的费用高不高?>>>点击【在线咨询】直接问医生!方便!快捷!我们为了牙齿的健康可以注意日常对牙齿的护理,而如果已经有了各种牙齿问题的那么就应该及时的进行修复治疗了,比如说针对牙齿缺失的问题就可以及时的进行种植牙修复了,那么种植牙修复的费用高不高?

种植牙修复的费用高不高?
1、对于同一个地方同一家医院来说医生也是决定一个因素,有的医生技术好的它们的价格就高些,医生技术稍微差的他们的价格也就有所不同,医生的技术主要就是经验和知识的专业。
2、品牌是影响种植牙价格的因素也是影响种植牙价格的较主要的因素,我们平时见过的种植牙的品牌可以有多种多样,品牌不同他们的价格就有明显的差异这点是毋庸置疑的。>>>点这里,直接预约医生!方便快捷!
3、种植牙的烤瓷牙冠种类。种类是影响烤瓷牙冠价格的因素也是影响烤瓷牙价格的较主要的因素,我们平时见过的烤瓷牙的种类有很多比如可以分为金属的和非金属的,而烤瓷牙冠种类不同价格各异。
4、护理有的时候也被考虑的一个范畴,因为针对有的护理是免费的但是针对额外的护理就是不免费的了,不同的服务就有不同的价格。
技术推荐:
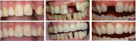
微创技术有别于以往传统种植牙的弊端,微创牙更具临床优势且成活率非常高;骨结合更牢,排斥率很低;手术时间更短,全程微创,舒适微痛;外形逼真,宛若天生,是公认的非常先进的牙齿种植技术。还有不明白的,点击免费咨询,或者拨打24小时贝臣美牙热线0591-88681777咨询,贝臣齿科医生为您解答!
在线咨询(免费咨询)在线近距离