想要具体了解种植牙都有年龄限制吗?>>>点击【在线咨询】直接问医生!方便!快捷!种植牙是现在十分普及的牙齿修复方式,很多缺失前牙的患者都喜欢选择种植牙来修复自己的牙齿。现在种植牙手术已经十分的普及,它拥有耐用、美观以及稳固等众多优异的特点。近年来种植牙已经逐渐被国内的缺牙人士认可,是十分受欢迎的牙齿修复方式。

种植牙有年龄限制吗?
种植牙能很好的修复缺失的牙齿,几乎没有年龄的限制,外国还有90岁成功种植牙的案例。但是并不是所有人都适合做种植牙,种植牙适用范围虽然很广,但是儿童及未成年人士不可以进行种植牙手术的。>>>点这里,直接预约医生!方便快捷!
儿童和青少年因为身体以及口腔都处于生长发育状态,口腔的发育还未完全,所以一般种植牙都需要等到成年之后才能进行。成年人已经基本完成身体的发育,这时候颌骨不会有太大的变化,做出的种植牙效果会更好!为了获得更好的种植牙效果,在种植牙之前都需要进行前期的检查,排除口腔中所存在的各种问题,才能进行种植牙手术。
哪些人适合做种植手术?
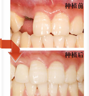
种植牙是类似与真牙的牙齿修复方式,很多人不习惯口内有假牙,总觉得有异物,产生不适、恶心感。种植牙被称为人类的第三副牙齿,它就像人类自然的牙齿一样,完全没有异物感,同时无论在美观还是在咀嚼上都和真牙差不多。【立即咨询】
并不是所有人都是和进行种植牙手术,除了上面我们说的年龄的限制之外,想做种植牙还要符合以下的条件:即患者年龄在18岁以上;口腔内缺牙部位的牙槽骨骨量足够(包括高度和宽度);无严重的牙周炎、牙周病及其它严重口腔疾患;上牙和下牙之间的间隙在咬合时不能少于5毫米。而有些人不能做种植牙手术,例如:局部禁忌症;咬合关系不良(能矫正咬合关系的可进行),牙槽骨有病理性改变,残根、炎症等,局部口腔有颌骨疾病,以及全身严重系统疾病,比如说心脏病、血液病、骨代谢性疾病等。

微创--让您拥有健康美丽的牙齿
目前所采用的微创技术是由韩国很大的口腔集团通过上千位齿科导师历经多年的不断摸索、实践、总结精研而成,其微创性及精细化在世界种植领域开创先河,摆脱了传统种植牙繁琐低效的步骤,大大缩短了种植所需的时间,全口种植仅需30分钟,不仅领先中国传统的种植牙技术,更是超越了欧美的种植技术。【立即咨询】
微创技术的四大优势:
一、快:、手术时间仅5-10分钟,坚固美齿一次性成型(牙槽骨好的还可以即刻负重)
二、准:西门子CT及全景准确定位,精准植入,无缝对接
三、精:注重精微细节、精细每个环节,精湛植入技巧
四、微:微小切口、微创微痛、快熟愈合
在线咨询(免费咨询)在线近距离