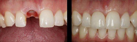
想要具体了解牙齿种植修复的价格是多少钱呢?>>>点击【在线咨询】直接问医生!方便!快捷!种植牙是一种比较逼真自然的牙齿修复技术,针对各类牙齿缺失的问题能够很好的进行修复,并且修复后的效果也很好也很美观,而牙齿种植修复牙齿的价格并不是固定不变的,那么牙齿种植修复的价格是多少钱呢?

牙齿种植修复的价格是多少钱呢?
一、牙齿种植的价格与选择种植牙品牌有关
种植牙的品牌是影响种植牙价钱的决定性因素,因为如今的技术发达种植牙的品牌有很多种,好的种植牙和人体相容性更高功能和美观度强,种植牙价钱相对就要略高了。
二、牙齿种植的价格与选择的医生有关
种植牙手术对医生的技术要求很高,需要由经过培训的种植外科医生、种植修复医生、种植技师及相应的助手组成的团队来共同完成的,对于同一个地方同一家医院来说医生的技术水准也可以决定种植牙价钱。>>>点这里,直接预约医生!方便快捷!
三、牙齿种植的价格与种植牙冠有关
牙齿种植过后需要在人工牙根上面镶上烤瓷冠,烤瓷冠的选择也会影响到种植牙价钱的,目前有金属烤瓷冠和非金属烤瓷冠、全瓷牙三种选择不同的牙冠其修复价格是不同的。
技术推荐:
医生表示,传统的种植牙需要安装6颗以上种植体,植牙手术是需要半年到一年多的时间里分次进行的。而"All-on-four"技术速度快,,短时间就能种好半口牙,ALL-ON-FOUR种植技术因其快捷、微痛、实惠的优点正受到越来越多缺牙者的青睐。还有不明白的,点击免费咨询,或者拨打24小时贝臣美牙热线0591-88681777咨询,贝臣齿科医生为您解答!
在线咨询(免费咨询)在线近距离