先天性缺牙能否做种植牙?牙齿缺失有的人是牙齿受损坏而缺失,有的人却是天生就缺失多颗牙,被称为缺牙症。先天性缺牙怎么办,做种植牙好吗?>>>点击免费咨询,或者拨打24小时牙齿健康热线0591-88681777咨询,贝臣齿科医生为您解答!

贝臣齿科医生指出,先天性缺牙指的是病患者缺少一定数量的牙齿,特指缺牙数在六颗以内的情形〈不包含智齿〉。在乳牙期阶段,上颚的患病率较下颚高,且多为侧门牙缺乏。
先天性缺牙很多人都会认为是遗传来的。其实不然,贝臣齿科医生介绍,胚胎期牙板发育受到物理障碍或者牙板断裂也是先天性缺牙重要原因之一。
先天性缺牙可通过矫正来治疗,由于矫治牙齿缺失针对不同年龄的人修复方法是不一样的,儿童由于骨骼还没有发育完全,先天缺失个别牙齿对咀嚼功能、牙列形态、美观影响不大,可以不做处理,缺牙数目较多时,可作活动性义齿修复,恢复咀嚼功能,促进颌面部骨骼和肌肉的发育,但修复体必须随着儿童牙合系统的生长发育不断更换。>>>文字看累了?点击直接免费咨询吧!
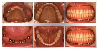
先天性缺牙对于成人来说,可以选择很多种美牙方法修复牙齿,其中种植牙是比较好的方法。
种植牙由于人工牙深植牙骨内,可承受正常的咀嚼力量,功能和美观上几乎和自然牙一样,因此,被人们称为人类的第三副牙齿。
种植牙又被称为人工种植牙,它并不是真的种上自然牙齿,而是通过医学方式,将与人体骨质兼容性高的纯钛金属经过精密的设计,制造成类似牙根的圆柱体或其他形状,以外科小手术的方式植入缺牙区的牙槽骨内,当人工牙根与牙槽骨密合后,再在人工牙根上制作烤瓷牙冠。>>>还有不明白的,点击免费咨询,或者拨打24小时贝臣美牙热线0591-88681777咨询,贝臣齿科医生为您解答!
在线咨询(免费咨询)在线近距离