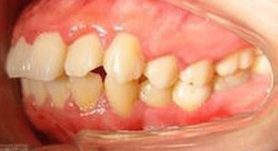
牙齿前突是怎么回事
来源:贝臣齿科
2017-01-13 14:20
进入答疑区

  想要具体了解牙齿前突是怎么回事 点击【在线咨询】直接问医生!方便!快捷!牙齿前突在生活中很常见,很多朋友都有这样的情况,牙齿前突,嘴巴向外突出,说话的时候牙龈外露,十分影响个人整体形象的美观。那么牙齿前突是怎么回事呢?又怎么解决呢?直接与医院在线医师一对一通话,方便!快捷!了解详情就医指导。
 


 

  牙齿前突是怎么回事?一般牙齿前突有以下几个因素。
 

  一、先天影响因素:胎儿在母亲子宫内生长发育过程中受到了某种影响,从而导致牙齿前突。特别是缺乏维生素引起的营养不良,内分泌功能紊乱,都会造成孩子先天牙齿前突。点这里,直接预约医生!方便快捷!
 

  二、疾病、后天不良习惯因素:在孩子替换牙齿期间出现某些遗传性疾病或是其他疾病,亦或是替换牙齿期间常常有咬手指、咬上唇或下唇、伸舌等不良习惯,都会导致牙齿前突。
 

  三、乳牙早失:乳牙过早丧失,乳牙迟迟不掉,恒牙过早丧失,恒牙萌出顺序紊乱等等,这些现象都会造成牙齿前突。
 


 

  那么牙齿前突怎么解决呢?
 

  牙齿前突程度不同,采用的解决方式也是不同的。一般来说中轻度的牙齿前突带牙套就能轻松矫正。中轻度牙齿前突只是由于牙齿过于拥挤导致牙齿排列错颌而导致的,经过拔牙扩大牙齿间间隙,然后佩戴牙套对牙齿施加一定的矫力,重新排列牙齿,改变牙齿前突的问题,使牙齿变整齐好看。
 

  重度牙齿前突是牙错颌畸形,光是带牙套只能将牙齿排列整齐,而不能彻底改善牙颌畸形,因此重度牙齿前突需要做外科正畸手术。手术过程中需要注意口腔的健康状况,在无任何口腔疾病或是身体疾病的情况下进行外科正畸手术。将牙齿重新排列,使之回到正常位置,实现解决牙齿前突的目的。 还有不明白的,点击免费咨询,或者拨打24小时贝臣美牙热线0591-88681777咨询,贝臣齿科医生为您解答!

温馨提示:
病情因人而异,以上信息仅供参考,请您一定到专业正规医院,接受医生的诊断与治疗。贝臣齿科提供网络咨询预约平台,可以向在线人员咨询您的情况。

在线咨询预约医生

在线咨询(向医生医生免费咨询)名医在线近距离