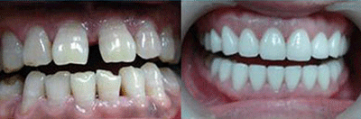
牙缝过大怎么修复好
来源:贝臣齿科
2017-01-09 14:23
进入答疑区

  想要具体了解牙缝过大怎么修复好 点击【在线咨询】直接问医生!方便!快捷!网友咨询:我今年24岁了,牙缝比较大,主要是经常出现啃骨头或者吃瘦肉塞牙缝的情况,感觉吃一顿饭之后牙齿塞得很难受,经常都是需要饭后用牙签仔细的挑出来才舒服,而且越用牙签,感觉牙齿越来越稀疏了,该怎么办呢?直接与医院在线医师一对一通话,方便!快捷!了解详情就医指导。
 


 

  牙缝过大怎么修复好?
 

  医生表示,牙齿稀疏或者是牙缝过大,大部分有两种情况所致,一是遗传性因素,二是后天环境因素所致。牙缝过大不仅影响美观,发音不全,影响沟通之外,还会容易引发口腔疾病。而且牙齿缝隙太大就会严重破坏我们的整体形象,所以如果发现自己的牙缝比较大,一定要找到正确的原因,及早的进行治疗。
 

  牙缝过大的原因是什么?点这里,直接预约医生!方便快捷!
 

  牙缝又称牙间隙,是牙与牙之间的自然间隙。一般情况下,牙缝是由牙龈组织充满。牙龈组织在牙缝里的部分,医学上称为牙龈乳头(两只牙齿之间的牙龈前端的呈锥形的肉)。
 

  牙龈乳头很容易发炎,一旦发炎,很容易出血,而且一旦出血,说明已经发炎了。牙龈乳头的血液循环很好,发炎的牙龈乳头利用血液循环好的有利条件,加速血液流量,目的是为了消炎。每次牙龈乳头从发炎到消炎的过程中,都要坏死脱落,每次脱落就要降低牙龈乳头的高度。在人的一生当中,牙龈乳头坏死脱落的次数很多,牙龈乳头一点一点地降低其高度,牙缝就会越来越大。
 

  此外,牙齿长期嵌塞食物会引起牙缝越来越大,食物嵌入牙间隙,压迫牙龈组织,可发生牙龈乳头的坏死,进而加大牙缝。嵌食的原因可以是牙齿龋坏引起的,也可以是牙周炎性的牙槽骨吸收,导致牙齿松动而引起的。
 


 

  牙缝过大怎么修复好?
 

  医生表示可以通过正畸治疗,正畸矫正不损伤牙齿,把牙齿移动就可以了,一般来说,单独关闭小牙缝比较简单,可以采用不拔牙矫正,但是你的具体情况还需要正畸医生详细检查以后才能决定治疗方案。这种方法的缺点是时间长,你的年龄需要至少半年,而且矫正以后还需要长期戴活动保持器进行保持,但是矫正的效果很好。 还有不明白的,点击免费咨询,或者拨打24小时贝臣美牙热线0591-88681777咨询,贝臣齿科医生为您解答!

温馨提示:
病情因人而异,以上信息仅供参考,请您一定到专业正规医院,接受医生的诊断与治疗。贝臣齿科提供网络咨询预约平台,可以向在线人员咨询您的情况。

在线咨询预约医生

在线咨询(向医生医生免费咨询)名医在线近距离