牙齿拥挤给很多朋友带来生活和工作上的困扰。很多人认为自己牙齿拥挤,只要拔除一些牙就能给给其他牙齿留出生长的空间,这样自己的牙齿就会变的好看。但是事实真的是这样吗?>>>点击免费咨询,或者拨打24小时牙齿健康热线0591-88681777咨询,贝臣齿科医生为您解答!
拔牙能治牙齿拥挤吗?
据贝臣齿科医生介绍:牙齿拥挤分为单纯拥挤和复杂拥挤。单纯拥挤表现为牙齿因间隙不足而排列错乱,并因此影响到牙弓形态与咬合关系。复杂拥挤时,除牙量不调造成的拥挤之外,还存在颌骨、牙弓间关系不调,并影响到人的面形,有时还伴有口颌系统功能异常。

不同人的牙齿拥挤症状是不同的,在治疗牙齿拥挤时,拔牙与否是根据牙齿的需求而确定的。拔牙并不能治疗牙齿拥挤,但是牙齿拥挤有时候需要进行拔牙。以下是几种常见的拔牙情况:
情况一、利用拔牙间隙排齐拥挤的牙齿。拥挤度在II-III度的牙齿畸形者拔牙的可能性较大。
情况二、利用拔牙间隙将前牙内收,改善牙弓突度,改善面型。比如有的人嘴唇比较前突,经过拔牙矫正后嘴唇的突度会变小,面型变的更加美观。
情况三、利用拔牙间隙调整后牙咬合关系,使得后牙尖窝交错,咬合接触面积大,达到的咀嚼效率。
医生总结:一般而言,拔牙不能治疗牙齿拥挤,只能作为一种辅助治疗的手段。轻度拥挤,可采用增加牙弓长度或宽度的方法获得有限间隙而不需拔牙矫治;中度拥挤,多数病例应采用拔牙方法解除拥挤;而严重拥挤则通常应进行正畸拔牙才可能使矫治成功。>>>点击咨询详细了解德国仿生美容冠。
牙齿拥挤治疗,德国仿生美容冠!
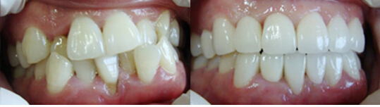
郑先生,27岁,一家企业的经理。经过三年的努力才换来今天的职位,郑先生很珍惜。但是因为牙齿拥挤的问题,他和客户谈合作问题时,总会碰壁。拥挤的牙齿每次都无法博得客户的好印象。因此他便想在短时间内让自己的牙齿变的整齐自然。经朋友介绍,郑先生来到贝臣齿科寻求帮助!

医生建议:郑先生已成年,且他对牙齿修复后的要求较高,希望在不影响自己工作的状况下进行治疗。采用贝臣齿科独家德国仿生美容冠是矫正郑先生牙齿拥挤的方案。
治疗结果:治疗后的牙齿整齐如新使得郑先生的形象上升了一个新的档次,在他和客户谈合作的时候事半功倍,整个人也变的更加自信。>>>文字看累了?点击直接免费咨询吧!
贝臣齿科温馨提示:
很多年轻人因为牙齿拥挤而苦恼不堪,但是他们又苦于找不到的治疗方案。而美容冠的出现是众多成年牙齿畸形者的。德国仿生美容冠针对成人,对龅牙、排列歪斜牙、畸形牙以及色素牙,可、快速矫正修复,无需拔牙,全程,生物相容性好,牙龈不会出现黑线,7天还你洁白整齐牙齿,美齿。>>>还有不明白的,点击免费咨询,或者拨打24小时贝臣美牙热线0591-88681777咨询,贝臣齿科医生为您解答!
在线咨询(向医生医生免费咨询)名医在线近距离