想要具体了解烤瓷贴面的使用寿命?
点击【在线咨询】直接问医生!方便!快捷!烤瓷牙贴面也是医学上一种美白牙齿的方法,很多朋友为了方便都是采用烤瓷牙贴面来进行牙齿美白,但是大家对于烤瓷贴面的使用寿命存在比较大的担忧,很多朋友都想问烤瓷贴面能否永久使用。

医生点评:
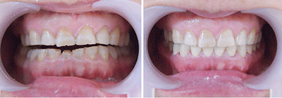
烤瓷贴面美白效果立竿见影,而且现在贴面的颜色更多,外形更逼真,很受消费者欢迎,但它并非像有些人想象的可以一劳永逸,这和口腔医生的水平以及平时的口腔保健分不开,假如治疗保养得很好,可以保持几年甚至更长的时间。
点这里,直接预约医生!方便快捷!
烤瓷贴面的寿命与以下因素有关:
1.因其较冠类修复备牙少,对牙髓刺激小,颜色稳定、美观,具有良好的生物相容性、耐磨损,不易着色及附着菌斑等特点,易被患者朋友接受。尤其在对年轻恒牙、髓腔较大的牙进行修复时更有利于保存活髓。
2.瓷贴面能修复氟斑牙,轻、中度四环素牙,老龄变色牙及轻、中度死髓变色牙、轻、中度釉质缺损、还能修复前牙间隙、轻度错位、异位及发育畸形牙、前牙牙齿缺损等。
3.烤瓷贴面是指在不磨牙或少磨牙的情况下,应用粘接材料,将薄层瓷修复体固定于患牙唇、颊面,以恢复影响美观的缺损、遮盖变色等缺陷的一种修复方。
在线咨询(免费咨询)在线近距离