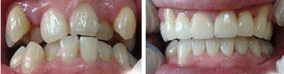
虎牙牙冠大、牙根长,所以虎牙突出支起嘴唇时显得特别难看,但不能为了好看就随便拔除虎牙,因为虎牙在口腔中起着其他牙无法代替的作用。虎牙太过突出会导致面部不协调从而影响美观,易使人产生自卑心理,而且还影响咀嚼功能。

虎牙的危害有多严重?
1、影响美观
虎牙冠大、牙根长,所以当它突出支起嘴唇时就显得特别难看,会影响唇的活动和美观。因而许多人都想要把老虎牙拔掉。其实,盲目拔老虎牙的做法是不科学的,也是不可取的,应该要选择值得信赖的医院和医师。
2、面部不协调
虎牙是我们的口角支撑点。虎牙排列在嘴角两边的转弯处,支撑着嘴唇保持面部的丰满。而虎牙过部外露,则会显得脸显大方脸,有的甚至还会引起人面部不协调,不够丰满。若虎牙缺失会引起上嘴唇塌陷,影响面容。
3、影响咀嚼
虎牙锐利有力,在咀嚼中起撕碎食物的作用。如若虎牙过度空出,使之上下颌牙齿咬合不正,刚会导致颞下颌关节等疾病,会影响到我们人体健康。

隐适美隐矫正疗效显著
传统矫正时间的长短与畸形严重程度有关,一般需要1-2年。由于无需反复去医院粘结托槽、调整弓丝,采用隐形矫治可以减少就诊次数和诊疗时间,全隐矫正全程仅需9-12个月,当然全隐矫长短的具体时间仍然需要根据患者牙齿畸形和复杂程度而定。
隐形矫正全程实现微痛、无创快速诊疗法,是完全个性化的设计理念,完全不会影响人们的日常生活,可自行摘戴,具有隐形高效,稳定美观的特点。相比于一般的隐形矫正治疗时间缩短近三分之一,复诊时间缩短二分之一,为正畸者大大节省了时间。
隐适美全隐矫正矫正优点:
1、美观舒适:隐形透明的制作几乎完全隐形,让人察觉不出你在牙齿矫正,这样从美观上不用担心了。没有传统的托槽、钢丝等矫正装置,矫正中不痛苦,对牙周组织刺激很小。
2、方便快捷: 可以自行摘戴,不影响社交、进食以及运动等。短而有效的治疗时间,一般治疗9-12个月就可完成,节约您宝贵的时间。
3、便于摘戴,保持口腔卫生: 口腔卫生容易维护,不用担心牙龈炎、牙齿脱位或者变色等问题。
在线咨询(免费咨询)在线近距离