四环素牙,事业的绊脚石
来源:贝臣齿科
2014-10-27 15:45
进入医生答疑区

  “人靠衣装美靠靓装”的俗话广为人知,但缺少自信美丽的笑容,同样会使形象大打折扣。李小姐在某公司从事销售行业,她原本性格开朗,活泼靓丽,现在却被一口四环素牙所困扰,不愿露出自信的笑容,让整个人都没有了以往的神采。>>> 点击免费咨询,或者拨打24小时牙齿健康热线0591-88681777咨询,贝臣齿科医生为您解答!
 


 

  李小姐出生于一个偏僻的农村,小时候,家境贫穷,由于长期服用含有四环素类型的药物,造成牙齿发黑,暗哑无光泽。一直以来,李小姐并没有把牙齿的问题放在心上,身边的亲人和朋友也没有笑话她,她开始淡忘了自己的牙齿问题。直到工作后,一直没有放在心上的一口四环素牙让她越来越觉得不雅,与人交谈时,总感觉身边的人用异样的眼神看自己,她变得沉默寡言,脸上也没有了以往灿烂的笑容。面对客户,李小姐总是有意无意的隐藏自己难看的牙齿,害怕一张口就被对方看到那口丑牙,说话也变得很不自然,导致销售业绩开始下滑,公司领导多次找她谈话,希望她能够解决自身问题,以免造成更多客户流失。>>>文字看累了?点击直接免费咨询吧!
 

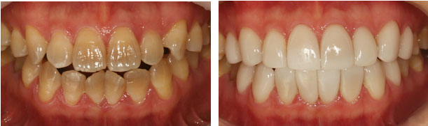
  面对牙齿带来的种种困扰,李小姐下定决心治愈四环素牙,经过网上大量收集资料以及朋友介绍,了解到瓷贴面是一种不磨牙,无需麻醉,坚固耐用,全程的美牙新,瓷贴面不但形态逼真,无副作用,而且具有 长期美白,效果自然特点。在福州贝臣齿科通过美容冠修复治疗后,李小姐的四环素牙不见了,美牙后牙齿自然洁白。现在面对客户时,李小姐没有了以往的拘谨,总是面带微笑与客户交谈,恢复了以前自信的形象。
 


 

  福州贝臣齿科医院一直秉承以好的齿科材料,优质的医疗水平,热情的服务态度,让患者心满意足的离开,让患者能重新拥有一口健康美丽的牙齿。自贝臣齿科推引进德国仿生美容冠以来,众多爱美人士纷纷前往贝臣就医,就连电视台主持人也不例外,每个人都获得了大的满足,以前不敢开口笑的,现在笑口常开了;以前极其缺乏自信的,现在走路都抬头挺胸了。想要让自己的牙齿变漂亮,德国仿生美容冠就是好的选择!>>> 还有不明白的,点击免费咨询,或者拨打24小时贝臣美牙热线0591-88681777咨询,贝臣齿科医生为您解答!

温馨提示:
病情因人而异,以上信息仅供参考,请您一定到专业正规医院,接受医生的诊断与治疗。贝臣齿科提供网络咨询预约平台,可以向在线人员咨询您的情况。

在线咨询预约医生

在线咨询(免费咨询)在线近距离