现如今,牙齿健康越来越受到人们的关注,拥有健康整齐的牙齿是我们每个人都希望的。牙周炎是口腔疾病中比较常见的,生活中刷牙的时候牙龈出血,咬一口苹果或者其它硬的东西牙龈也会出血。很多人会简单认为牙龈出血是因为刷牙用力或着急上火,其实不然,这很有可能就是牙周炎的表现。那么,牙周炎都有哪些症状呢? >>>点击免费咨询,或者拨打24小时齿科健康热线0591-88681777咨询,贝臣齿科为您解答!

一、牙龈出血:正常的牙龈是不应当出血的,许多人认为牙龈出血是身体“火”太大了,买个败火的牙膏刷牙或吃点败火的药就可以了。实际上,牙龈出血是牙周炎早期的症状之一,是机体发出的信号,告诉你牙龈发炎了,如果你不重视这个信号,那么牙周炎就会继续发展下去。牙周炎的症状,主要表现为牙龈红肿、出血,不仅在刷牙时出血,有时在说话或咬硬物时也要出血,偶也可有自发出血。牙龈颜色暗红,由于水肿显得比较光亮。健康的牙龈即使用力刷牙或轻探龈沟均不引起出血。而在初期和早期龈炎阶段,轻探龈沟即可出血。
二、口腔异味:引起口腔的原因有很多,其中牙周炎是一个重要的原因。牙周炎造成牙龈出血,组织发炎,致病的细菌产生代谢产物都会造成口臭。

>>>文字看累了?点击直接免费咨询吧! <<<
三、牙齿松动:早期的牙周炎牙齿不松动,只有在慢性破坏性炎症发展到一定的程度,牙周组织支持力量大为减弱时,才可以导致牙齿松动。牙齿松动因为牙周病造成牙周组织的破坏,牙齿的支持力不足,引起牙齿松动、位置改变或吃东西用不上力。实际上这是牙周病到了中期或晚期的一种表现。
四、牙缝变大:牙缝变大是由于牙周病造成牙龈和下方牙槽骨的退缩,引起牙间本应由牙龈和牙槽骨占据的空间暴露出来,使患者感觉牙缝越来越大。
五、牙龈萎缩:牙龈退缩也是牙周炎的症状之一,但患者常不易察觉。局部因素引起的牙周炎,由于长时间受大量牙石的压迫,刺激牙龈,所以,龈缘外形出现水平式的退缩。
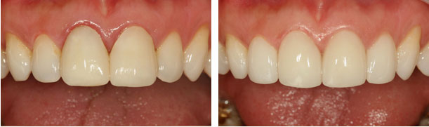
牙周炎“德国射频牙周治疗” >>>点击咨询详细了解德国射频牙周治疗!
轻柔、不损伤口腔组织、适用范围广、治牙美牙一举两得采用 国内 德国Vector牙周治疗仪、显微根管治疗、药物治疗、微创种植等,解除牙周病患以及修复缺失的牙齿。 >>>还有不明白的,点击免费咨询,或者拨打24小时贝臣美牙热线0591-88681777咨询,贝臣齿科医生为您解答!
在线咨询(免费咨询)在线近距离