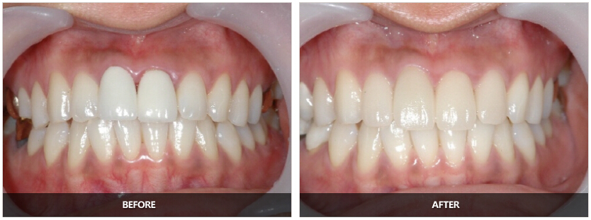
牙齿脱敏对比照片:


治疗前后对比图


治疗前后对比图


牙齿脱敏介绍:

  牙齿脱敏
  牙齿脱敏就是用特殊的口腔材料在牙面上形成一层保护膜,防止温度酸甜导入牙本质小管,促进修复性牙本质的生成,缓解牙齿发酸、疼痛的症状。>>>点击免费咨询,或者拨打24小时齿科健康热线0591-88681777咨询,贝臣齿科医师为您解答!
  什么情况下要进行牙齿脱敏
  一些人的牙齿遇到酸甜冷热食物的刺激,就会因牙根酸疼而不敢咀嚼,这就是牙本质过敏症,俗称"倒牙","倒牙"的发病高峰年龄在40岁左右。"倒牙"在医学上被称为牙齿感觉过敏,又称牙本质敏感症,是指在牙本质部分暴露或者机体抵抗力下降时,牙齿遇到在通常生理范围内不致产生反应的外界刺激时出现异常酸痛感,如:温度(冷、热)、化学(酸、甜、咸、辣)、机械(刷牙、摩擦硬物)等。其最典型的发病特征为发作迅速、疼痛尖锐、时间短暂,此时就需要进行牙齿脱敏了。
 

 
  常见方法
  1.激光脱敏。将医用激光发射仪的探头对准过敏部位,距离为几个毫米,经过一两分钟的照射,即可达到脱敏目的。这种方法见效快(仅需治疗一次),治愈率高,疗效维持时间长,且不易复发,是较好的脱敏方法。
  2.使用牙本质黏结剂脱敏。这类材料原来是修复牙齿缺损时使用的牙本质黏结剂,后来发现用于牙齿脱敏效果也很好。这类脱敏剂一般仅需治疗一次,治愈率和疗效维持时间同样令人满意,费用低于激光脱敏。适用于过敏牙数不多,但过敏部位较广泛的患者。
  3.电离子透入法。用小棉球蘸2%氢化钠溶液放于清洁、干燥后的过敏牙面,用电离子透入仪的探头接触小棉球,通电后使溶液中的氟离子进入牙本质小管发挥作用而脱敏。适用范围与黏结剂类脱敏剂相似,疗效好,费用更低,一般需要治疗三次左右才能达到较佳疗效。>>>文字看累了?点击直接咨询医师吧!<<<
  4.使用脱敏牙膏。有些患者过敏的牙齿较多,且过敏部位不甚明确,过敏症状较轻。
  怎样预防牙本质过敏
  一、用两侧牙齿咀嚼食物:可防止一侧牙齿过度磨耗,并可避免一侧咀嚼肌肥大。
  二、少吃较硬的食物:包括油炸食物和烤烙制品等。这里所说的少吃,指的是不能天天吃硬质食品,这样有利于治疗牙本质过敏,有利于巩固或提高治疗效果。
 

 
  三、避免冷、热、酸、甜食物刺激。
  四、咀嚼生茶叶治疗牙本质过敏:由于生茶叶中含鞣酸,可使牙本质小管的蛋白质发生凝固,从而减轻牙本质过敏症状。其方法是:将干茶叶放在牙齿的过敏区,轻轻咀嚼。适用于牙齿的咬合区牙本质过敏。干茶叶取材容易、经济,有一定疗效。
  五、使用生大蒜治疗牙颈部牙本质过敏:大蒜素具有抗菌消炎作用,用于治疗牙本质过敏,其机制尚不清楚。具体方法是用生大蒜的新鲜断面反复涂擦过敏区。
  六、避免刺激过敏区:在治疗期,每次刷牙要避免刺激过敏区。特别是横刷牙时对牙颈部损伤严重,应该纠正横刷牙,以免引起牙本质过敏。>>>还有不明白的,点击免费咨询,或者拨打24小时贝臣美牙热线0591-88681777咨询,贝臣齿科医师为您解答!

牙齿脱敏常见问题:

  1、哪些原因会导致牙本质过敏?

  贝臣齿科:习惯于单侧咀嚼食物,使该侧牙齿磨耗较多;牙刷过于锋利,刷牙方法不正确;吃比较硬的食物;有缺失牙齿没有及时镶复,剩余的牙齿受磨耗过度等等这些原因都可能导致牙本质过敏的现象。

 

  2、牙齿脱敏对牙齿有伤害吗?

  贝臣齿科:牙齿脱敏所采用的方法和所使用的材料都是对牙齿无伤害的、相溶性好的,因此牙齿脱敏不会对牙齿有伤害。

 

  3、牙齿脱敏需要多少钱?

  贝臣齿科:每个人的牙齿情况不同,所适合的牙齿脱敏方法也不一样,因此费用也是有所差异的。