白领们虽然每天都有良好的工作环境,但压力非常之大,为了在人才济济的职场中脱颖而出,必须坚持加班,给自己充电。然而一些问题随之出现了,生活开始变得没有规律,就餐不正常,选择更多的是咖啡、可乐、橙汁等,从而患上了咖啡牙。>>> 点击免费咨询,或者拨打24小时牙齿健康热线0591-88681777咨询,贝臣齿科为您解答!

福州贝臣齿科医师表示,咖啡牙严重影响着白领们的生活,在聚会时无法自信从容、到了结婚的年龄并没有找到对象,更残忍的是给众人留下了不好的印象。
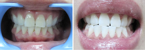
咖啡牙怎么美白?
针对咖啡牙,医师推荐德国仿生美容冠系统,德国仿生美容冠系统是一项新兴的牙齿美白,它将高强度彩光定点照射,可以去除牙齿表面的色素沉积,及深层所附着的色素,美白效果持久有效。>>>点击直接咨询医师吧!
德国仿生美容冠美白系统优势:
一、效果明显-可靠
采用较的彩光(蓝光)照射,它将高强度彩光定点照射,去除牙齿表面及深层所附着的色素,使牙齿回到未经染色前的洁白。
二、美白-
采用物理还原原理,对于口腔组织非常,操作过程不接触牙龈,完全避免对牙龈的伤害,同时对牙齿不会造成任何损害。>>> 还有不明白的,点击免费咨询,或者拨打24小时贝臣美牙热线0591-88681777咨询,贝臣齿科为您解答!
在线咨询(免费咨询)在线近距离