想要具体了解茶渍牙有哪些危害?
点击【在线咨询】直接问医生!方便!快捷!茶渍在饮茶时带入身体,与食物中的蛋白质、脂肪和维生素等营养化合,生成难溶的沉淀,阻碍营养的吸收。同时,这些氧化物进入身体还会引起牙齿、神经、消化、泌尿造血系统病变和功能紊乱,尤其是砷、镉可致癌,引起胎儿畸形,危害健康。经常喝茶的人通常都会出现茶渍牙,茶渍牙的颜色很难看会影响到我们的形象。那么,除此之外茶渍牙还有哪些危害呢?

茶渍牙的危害主要有:
1、影响外在形象。外因性色素牙患者一笑就会露出一口外因性色素牙,这会对一个人在外在形象造成极大的影响。
2、影响心理健康。正如我们希望得到周围的人喜欢、尊重和有修养一样,注视一个人的身体外观是人普遍的特性。如果对牙齿不满意,个别患者可能通过对社会消极反应,或通过损害自己的自尊心来安慰自己。
3、影响身体健康。茶渍牙是茶渍浮在牙齿上的茶渍,茶渍就是茶水污垢,简称茶渍或茶垢含有镉、铅、铁、砷、汞等多种金属物质。茶渍残留在牙齿上带入身体,与食物中的蛋白质、脂肪和维生素等营养化合,生成难溶的沉淀,阻碍营养的吸收。同时,这些氧化物进入身体还会引起神经、消化、泌尿造血系统病变和功能紊乱,尤其是砷、镉可致癌,引起胎儿畸形,危害健康。
点这里,直接预约医生!方便快捷!
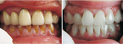
推荐--冷光美白术
贝臣齿科引进的“冷光美白术”是一项正流行于欧美的新兴的牙齿美白术,它将高强度冷光定点照射,它不仅可以去除牙齿表面的色素沉积,及深层所附着的色素,美白效果持久有效,仅需短短的30分钟,即可让您拥有一口润白亮泽的牙齿。具有持久、自然、快速、专业、安全等五大优势。
在线咨询(免费咨询)在线近距离