洗牙
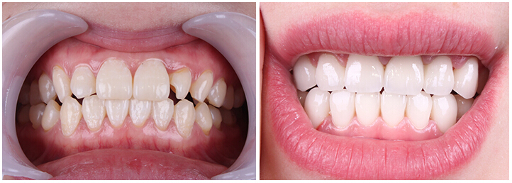
定期洗牙的好处
1、洗牙的同时可以对口腔进行全面检查,发现问题及时处理。
2、洗牙是预防和治疗牙周病和牙龈炎的有效方法。
3、洗牙是预防龋齿的有效方法。
4、有规律地定期洁牙,可以保持口气清新,避免自卑心理、社交障碍等问题,还可以起到美容作用,即去除黏附在牙面上的色素、烟渍等,使牙齿恢复到原本洁白靓丽。
过程
第一步:消毒:这个过程能够有效地降低唾液中细菌的含量,从而最大程度地减少污染。
第二步:洁治:医生根据病人的具体情况,通过手工或超声的方式进行洁治。
第三步:喷砂:这是通过特制的盐加上高压水为牙齿做进一步的清洗,清除色素的效果更为明显。
第四步:抛光:洗牙后抛光就象洗车后打蜡的效果。通过抛光可以使牙齿更光亮,牙面更光滑,从而减缓菌斑及色素的附着和牙石的生成。
科研临床治疗方法
1、轻、中度牙垢人群推荐超声波洁牙
2、重度人群推荐喷砂洁牙
技术详解
1、超声波洁牙术的原理就是用超声波振动效能和水雾冲洗配合,大大提高清除牙石的效率。超声波洁牙机头工作端制作得很光滑,因而在洁牙的过程中它没有切削割磨的作用,所以自然不存在牙齿受磨损的问题。
2、喷砂洁牙是使用高压气流,把特制的二氧化硅盐砂喷射到牙齿表面,清除不易刮除掉的牙齿表面的附着物,这些颗粒状的盐类到嘴里就溶化了。喷砂能瞬间柔和地把附着在牙齿上的茶垢、烟垢及食物软垢清理干净,并能清洁超声洁牙机不能达到的牙面窝沟点隙。喷过砂的牙齿非常光洁,且不易再次沉积牙石,所以洗牙和喷砂可以结合进行。
技术优势
1、超声波洁牙:
轻松:不需要麻药,无副作用,在音乐休闲等待中轻松度过;
安全:对牙齿无损伤,无疼痛、治疗无交叉感染、无远期伤害,整个过程严格执行无菌操作;
有效:对牙结石、黄牙、烟斑牙等洗后即可看见很好的美白效果;
快速:一次洗牙,清洁、保健、美齿只需30分钟。
2、喷砂洁牙:
更干净:洁牙的气动超声波只能把口腔内大块牙石振下,而喷砂能把附着在牙齿上的茶垢、烟垢及食物软垢清理干净,喷过砂的牙齿非常光洁,且不易再次沉积牙石;
更美观:喷砂可以提高牙齿的光泽度,对牙齿的美观有一定帮助;