黄牙
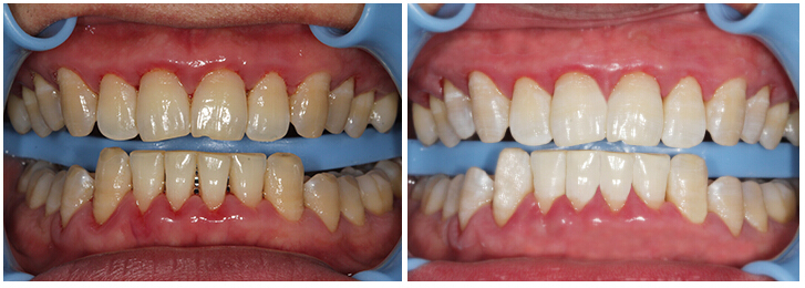
黄牙即是牙齿发黄,形成的原因有三种:第一种是斑釉牙,又称为氟斑牙,为饮水中氟元素浓度过高所致。当氟浓度超过百万分之一时,就会影响牙胚的钙化过程,牙齿表面发黄,凹凸不平,出现点状或条状凹陷性缺损。斑釉牙常发生于5岁前牙齿发育钙化时。第二种是四环素牙,为儿童时期经常服用四环素所致。它在体内与钙质相结合,生成一种四环素钙的黄色复合物,沉积于牙冠上。第三种是吸烟,烟草中的黄色物质沾附于牙齿上所致。
>>>点击免费咨询,或者拨打24小时齿科健康热线0591-88681777咨询,贝臣齿科医师为您解答!
科研临床治疗方法
1、轻度黄牙选德国炫彩美白
技术详解
1、德国炫彩美白技术是现阶段较先进的牙齿美白技术。它在冷光美白的基础上,创过氧化氢加硝酸钾和氟化物结合的美白方式,打破了传统冷光美白的局限性,克服了传统冷光美白时牙齿酸痛,美白后牙龈过敏的窘境。具有高效快速、保护牙齿、舒适无痛、效果持久等优点。
2、德国仿生美容冠源于德国多年齿科技术,"仿生牙冠"模拟真牙的密度、结构、压强、再生功能,在牙齿自然进化和再生进化中谋求统一,在真牙与仿生牙之间达到融合。获得很多明星青睐,"仿生美容冠"美誉在各地传播。仿生美容冠的出现,是齿科发展史上的一个突破,牙齿美容进行仿生时代!
3、德国显微超薄贴面是指在不磨牙或少磨牙的情况下,应用粘接材料,将薄层瓷修复体固定于患牙唇、颊面,以恢复影响美观的缺损、遮盖变色等缺陷的一种修复方法。因其对牙髓刺激小,颜色稳定、美观,具有良好的生物相容性、耐磨损,不易着色等特点,易被患者接受。
技术优势
1、德国炫彩美白:
全面美白:选进口德国炫彩美白,推行全日式美齿技术,美白牙齿;
快速美白:美白作用15分钟立现,60分钟内牙齿洁白色阶提升1-2位;
无痛美白:改善传统洁牙时酸痛感,美齿时间倍减;
高效美白:同步提供牙齿护理,舒适美白且科学保护牙齿;
持久美白:美白牙齿配方,维持2-5年持久美白效果。
2、德国仿生美容冠:
专业美牙设计师个性设计,美丽不可模仿;德国3D全景机扫描,数据分析,科学定位;德国齿雕工艺,32种比色、38道工艺只出精品;仿生材料,色泽逼真、透度自然,媲美真牙;改变牙齿同时改善脸型、唇形,美丽一举两得;仅需5天,来院两次即可轻松拥有明星般美牙。
3、德国显微超薄贴面:
安全不磨牙:无需麻醉,美牙过程无任何痛楚,不会刺激牙龈,能较大限度保护牙体组织,对人体也无任何损伤;
效果更持久:材料具有良好的透明性、遮光性,美学效果较好,不会出现烤瓷牙常见的“黑线”问题;其高耐磨性、不着色的特点,保证了美白、亮泽的长久性;
颜色效果佳:瓷贴面制作时,可供选择的颜色非常多;制作后还可采用外染色进行颜色细调;粘贴时,还能采用不同颜色的黏结剂和白色遮色剂辅助调整颜色,以达到整体协调的美容效果;