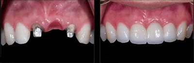
单颗种植牙修复需要多长时间
来源:贝臣齿科
2016-12-07 14:30
进入答疑区

  想要具体了解单颗种植牙修复需要多长时间 点击【在线咨询】直接问医生!方便!快捷!很多人认为单颗牙齿缺失不会造成多大的影响,其实单颗牙齿缺失会造成很严重的口腔问题的,对于这个问题千万不能掉以轻心,要进行有效的镶牙修复。医生表示,牙齿缺失的爱美人士,可以通过种植牙来再次拥有牙齿。但是又怕耽误自己的学习和工作又想要做种植牙修复的人们都想知道 单颗种植牙需要多长时间 ?直接与医院在线医师一对一通话,方便!快捷!了解详情就医指导。
 


 

  医生指出,人工种植牙的手术治疗和修复大概可分为三个阶段:点这里,直接预约医生!方便快捷!
 

  种植牙的术前检查和处理阶段:如拔掉特别松的牙齿、残根,充填齿,治疗牙周病去除不良假牙,调改和纠正不良咬合关系等。这个阶段所需时间视各人牙齿健康情况,治疗情况不同而异。
 

  种植牙的手术阶段:当您的医生根据术前设计方案,通过手术将种植体植入骨内,术后反应较小。植入一枚种植体的时间约为10~30分钟。
 

  种植牙术后恢复阶段:术后四至六个月,更换或安装恒久牙冠或义齿。恒久牙冠为烤瓷材料制作。其质地优良、色泽逼真,舒适美观,恢复功能满意,经久耐用。
 


 

  单颗牙齿缺失做种植牙需要多长时间
 

  单颗种植牙修复需要多长时间要看您选择哪种种植牙方式,目前种植牙有普通种植牙和牙两种,下面分别为您介绍一下:
 

  第一种:普通种植牙。 普通种植牙一般拔牙后三个月之后才可以做种植牙,手术时间约为15分钟,术后佩戴临时活动假牙,可正常饮食,3个月后待种植体与颌骨完全融合后复诊。
 

  第二种:牙。 牙是一个不错的选择。

温馨提示:
病情因人而异,以上信息仅供参考,请您一定到专业正规医院,接受医生的诊断与治疗。贝臣齿科提供网络咨询预约平台,可以向在线人员咨询您的情况。

在线咨询预约医生

在线咨询(免费咨询)在线近距离

点击右侧按钮查看其它视频
点击右侧按钮查看其它视频

24H免费咨询电话

贝臣节假日无休

福州贝臣齿科 — 专做口腔

福州贝臣齿科是卫生部门批准成立的专业口腔诊疗机构。在全国各大城市CBD商务核心区...[详细]

推荐医生

  • 阿诺德·马丁贝臣齿科(中

  • 穆素花贝臣世茂院技

  • 林劲松贝臣世茂院牙

  • 陈振林贝臣世茂院正

  • 阿诺德·马丁贝臣齿科(中

  • 穆素花贝臣世茂院技

  • 林劲松贝臣世茂院牙

  • 陈振林贝臣世茂院正

口腔热门项目推荐

  • 牙齿种植
  • 牙齿矫正
  • 牙齿修复
  • 牙齿美白
  • 无痛治疗
  • 儿童齿科

来院路线

来院路线
地址:福州世茂国际中心1号楼3层(地铁茶亭站D出口)