想要具体了解后牙种植修复的效果好吗?
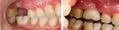
点击【在线咨询】直接问医生!方便!快捷!后牙缺失的求美者,想在恢复牙齿咀嚼功能的同时,也能够恢复原有的美观,所以很多人选择做种植牙来进行牙齿修复。在出现后牙缺失后,很多想做种植牙的朋友都想知道后牙种植修复的效果好吗?
后牙种植修复的效果好吗?医生表示,要从很多方面来看,因为口腔种植牙修复是由很多环节构成的。从大的方面说,除了病人的口腔条件和采用的种植系统外,还有种植设计、种植方法、取印模、灌模型等环节。如果将口腔种植看成一个系统的话,上述各个相互关连、相互作用的环节构成了一个整体,且各个环节又都具有自己的作用,后合成后牙种植的功能。就是由上述各个环节中效果差的环节所决定的。比如,即使病人的口腔条件合适,采用的后牙种植系统先进,种植牙设计得当、后牙种植方法正确、医生的水平很好、印模质量高、模型灌得好,但只要义齿加工或日后维护等环节做得不到位,后牙种植的效果仍然会很差。
直接与医院在线医师一对一通话,方便!快捷!了解详情就医指导。

此外,后牙缺失做种植牙的优势还在于:
点这里,直接预约医生!方便快捷!
1、保护邻牙,对邻牙没有损伤:烤瓷桥修复需要磨除邻牙牙冠,损伤邻牙,而种植牙只在缺牙区植入,不会损伤邻牙,因而种植牙修复后的牙齿,能够对患者的健康邻牙起到很好的保护作用。
2、提高患牙的咬合功能:一般后牙缺失以后,传统假牙修复后的牙齿,由于稳固性不是太理想,因而往往咬合力都只有自然牙的1/20左右。而种植牙修复后的牙齿,由于依靠自身牙根即可对患牙进行固定,往往咬合力接近真牙,可有效提高患牙的咬合功能。
3、增加假牙的固位力:与传统假牙修复相比,对于很多后牙缺失的患者,通过种植牙都可以更好地固定义齿,使之更加牢固,避免了传统假牙的不便,可有效避免传统假牙造成的牙龈疼痛、异物感等。
后牙种植修复的效果效果很好,但是种植牙毕竟与原来自身的牙齿有所不同,在使用时要加以呵护,平时不可过于用力,以免种植牙则于不能自行清洗,一般每约3个月就必须请口腔科医生卸下固定螺丝进行清洗,来时可自行清洗的种植牙每半年至1年也必须到到医院进得检查。建议爱牙朋友们尽量选择好的医生,做种植牙对医师水平要求较高,一个好的医生可以很大程度上,决定种植牙手术的效果好坏。贝臣齿科汇聚国内外著名口腔医生,引进先进的设备,在口腔方面都做出了卓越贡献。
还有不明白的,点击免费咨询,或者拨打24小时贝臣美牙热线0591-88681777咨询,贝臣齿科医生为您解答!
在线咨询(免费咨询)在线近距离