想要具体了解后牙缺失种植需要多少钱?
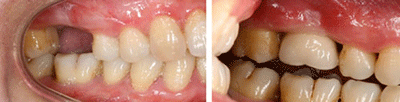
点击【在线咨询】直接问医生!方便!快捷!牙齿虽小,但是对我们的身体健康却是非常重要的。目前,后牙缺失是一种常见的疾病。它严重的影响着患者的正常生活。因此,因为各种原因造成的牙齿缺失对我们的影响是非常大的,牙齿缺失一定要尽快的进行修复。种植牙术是牙齿缺失的修复方式之一,可以很好的解决后牙缺失的问题。那么,后牙缺失种植需要多少钱?
【后牙缺失种植需要多少钱?】贝臣齿科医生说,后牙缺失种植需要多少钱具体根据情况而定,便宜的有几千,贵到上万的。虽然后牙种植牙短期来看费用相对会高一些,但是一劳永逸,而且不损伤邻牙、美观舒适、咀嚼率高、远期费用少、成功率高。
直接与医院在线医师一对一通话,方便!快捷!了解详情就医指导。

1、要根据不同的牙齿情况采取不同的收费。如果顾客的牙槽骨的骨头量不够,还需要植骨,这也会产生种植牙价格的不同;此外还要根据个人选的材料、医师的水平、医院的设备等都与价格有关。
2、主要取决于种植牙的种植体的类型以及种植体上方修复体的类型。例如,一颗种植牙的费用大约相当于固定修复桥的价位(但固定修复桥要磨除临近的健康牙齿以获得固位,而种植牙不需要)。当然,如需要植骨或结合其他治疗则费用还要多一些。
点这里,直接预约医生!方便快捷!
3、与种植牙材料有关。不同材料的种植牙价格肯定是不一样的,每种材料也都有自己的特性,患者可以根据自己的情况在医生的建议下选择适合自己的种植牙材料,只有适合自己的材料才是完美的。
4、与医生水平经验有关。操作种植牙手术的口腔医生也对种植牙的费用有一定程度的影响,经验丰富的口腔医生收费相对贵一些,但是种植牙的效果和使用寿命都会相应高出很多。
5、与医院的设备及水平有关。医院投资引进的种植牙设备及水平也对种植牙的价格有影响,进口设备与国产设备的价格差别很大,种植牙的费用自然也有所区别。
在线咨询(免费咨询)在线近距离