想要具体了解后牙种植的注意事项有哪些?
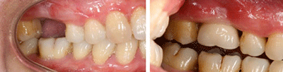
点击【在线咨询】直接问医生!方便!快捷!后牙承担着牙齿咀嚼食物的大部分功能,但是由于外伤等原因,很多朋友都会出现后牙缺失的情况。后牙缺失不比前牙那么难看,但是危害也很大。进行后牙种植牙修复,首要的就是对牙齿功能的恢复。现在种植牙可以很好的解决后牙缺失的问题,,种植牙恢复牙齿功能具有很好的疗效。

【后牙种植牙的注意事项】
点这里,直接预约医生!方便快捷!
1、良好的口腔卫生习惯很重要。注意口腔卫生,定期常规洁治;种植牙后,患者应该注意口腔卫生的保存,按时有效进行口腔清洁,必须要时可以选择洗牙爱护牙周卫生。
2、种植牙后一段内要注意饮食。固然种植牙后可以即时进食,但须要幸免过热饮食,更不能食过硬或者过韧是东西,防止种植牙受力过大。
3、植入人工牙根后的2-6个月内,切忌用力咀嚼,以免牙根松动而影响种植效果。
4、与天然牙协调,定期调整,以适应不断变化的咬合关系,维持正常的口颌系统功能。
5、防止受外力撞击,定期回医院复诊。具体的复诊时间,大致可定为种植后的1、3、6和12个月。
医生称固然种植牙几乎和自然牙一样,但后牙种植牙后,一定要注意调理,这样种植牙的使用寿命才能更长。贝臣齿科用采用即种即得的种植牙术,能够在保留了唇侧骨板及牙槽间隔的完整性时,使牙龈等软组织保留较好形态。可在1小时之内完成单颗牙冠的种植,并且确保种植牙的安全。同时,种植材料的生物相容性强,可以保证种植牙的使用时间,广大患者可放心就诊。
还有不明白的,点击免费咨询,或者拨打24小时贝臣美牙热线0591-88681777咨询,贝臣齿科医生为您解答!
在线咨询(免费咨询)在线近距离