想要具体了解换两个门牙多少钱?
点击【在线咨询】直接问医生!方便!快捷!很多人都有掉牙的经历,这些事情是难免的,掉牙不补其他牙齿会掉的更快,这一点我们都是知道的。于是不少人在掉牙之后,想到要去换牙,那么,换两个门牙多少钱?

换门牙的方式有哪些
门牙缺失对我们造成的危害非常明显,可以让人脸部塌陷、吃东西非常麻烦等。对于有些人来说,看着美食只能流口水是非常痛苦的。为什么?因为没牙齿,啃不动。一旦牙齿掉了,就失去了享受美食这一人生的乐趣,这才会切身感受到牙齿是多么重要。
点这里,直接预约医生!方便快捷!
其实,对于门牙缺失等问题,可以选择牙齿修复术进行解决。比较常见的有活动假牙、烤瓷牙和种植牙等。与其他牙齿修复方式相比,种植牙技术有着很大的优势,缺牙者可以获得与天然牙功能、结构以及美观效果十分相似的修复效果。
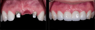
换两个门牙的费用是多少
换两个门牙多少钱?这要根据选择什么样的牙齿修复手段来说。一般而言,活动假牙比较便宜,但是大家基本不选择。烤瓷牙价格中档,但是需要磨牙。种植牙费用相对高一些,但是性价比很出色。种植牙费用包括检查费、种植体、基台、牙冠、骨粉等材料费用,其中种植体费用占总种植牙费用近70%以上。
无论选择哪种牙齿修复方式,都要及时进行,而且要注意防治牙周病。由于治疗水平的提高,目前由龋齿导致的牙齿缺失相对较少,但牙周病作为一种慢性感染性疾病,病程较长,直接导致牙槽骨吸收,成为失牙的主要原因,想要避免牙齿缺失,就要对牙周病有足够的警惕。
以前我们可能觉得只有老年人会掉牙,其实这是不对的,无论哪个年龄都会由牙齿缺失,在牙齿缺失之后,一定要采取措施去解决,以便尽早获得正常的生活。
还有不明白的,点击免费咨询,或者拨打24小时贝臣美牙热线0591-88681777咨询,贝臣齿科医生为您解答!
在线咨询(免费咨询)在线近距离