想要具体了解福州装半口牙多少钱?
点击【在线咨询】直接问医生!方便!快捷!随着年龄的增加,牙齿缺失将不可避免地出现,而且年龄越长,这一点是无法避免的,牙齿总会越掉越多,甚至会掉落半口乃至全口的牙齿,那么,福州装半口牙多少钱?

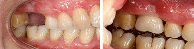
种植牙是比较好的牙齿修复方式
我们的牙齿都是很重要的,如果缺牙之后,要及时进行修复。刚掉一颗牙时,觉得掉牙又不是什么大病,就一直没去医院看。牙齿一颗接着一颗掉牙。因为人的牙齿是对称分布的,一旦一颗牙没有了,其他牙齿的位置都会发生偏移,加速牙齿的掉落,甚至可引起胃肠疾病,影响身体质量。
目前的半口牙齿修复或全口牙齿修复中,种植牙是比较好的修复方式。种植牙是将种植体通过手术植入牙骨内,获得牙槽骨牢固的支持,通过专业的方式连接起来,可以恢复到真牙绝大部分的咀嚼力。而活动假牙恢复牙齿的咀嚼力很低。种植牙相对活动假牙来说,咀嚼力强,效果好,舒适美观。
All-on-4种植牙技术大大减少种植牙费用
福州装半口牙多少钱?相对而言,当然是活动假牙和烤瓷牙便宜一些,而种植牙贵一些。此外,老年缺齿人群普遍存在缺牙数目多、牙槽骨密度降低等问题,尤其是半口以上缺牙者,如果采用单颗一颗颗植入种植体的方式,价格较高、疗程较长,且其牙槽骨条件本身也并不符合种植体植入手术指征。
对于想做种植牙,但是对费用考虑较多的患者,可以采用All-on-4种植牙术。All-on-4种植牙术当天种植当天戴冠咀嚼,创伤小、恢复快;而从经济角度上来说,费用更低,半口只需4个种植体,大大节约了治疗费用。
点这里,直接预约医生!方便快捷!
此外,装牙的价格跟其使用效果是密切相关的。种植牙不能光看价格,还要看实施种植手术的医生实力,无效种植或者是失败种植对患者来说是很大的痛苦。种植牙是涉及骨下的手术,如果种植体植入稍有偏差,就会导致种植体不稳固,影响使用寿命,甚至直接造成无效种植。
每个人都要享用一日三餐,这样牙齿就是我们每天都离不了的,牙齿看似非常坚固,但事实上,很多因素,都可以让牙齿受损,有些还难以避免,需要及时加以修复。
还有不明白的,点击免费咨询,或者拨打24小时贝臣美牙热线0591-88681777咨询,贝臣齿科医生为您解答!
在线咨询(免费咨询)在线近距离