种植满口牙多少钱
来源:贝臣齿科
2017-02-23 14:34
进入答疑区

  想要具体了解种植满口牙多少钱 点击【在线咨询】直接问医生!方便!快捷!全口缺失的情况并不罕见,我们对此应该有一定的认识。中老年人,特别是年龄比较大的老人,牙齿缺失的情况往往不是孤立的,而是多颗牙缺失甚至全口无牙,这就要做满口牙修复了。那么,下面我们就去看看,种植满口牙多少钱?直接与医院在线医师一对一通话,方便!快捷!了解详情就医指导。
 


 

  老人的满口牙缺失其实是很普遍的,在大多数时候,我们都不是很在意,其实它的危害很大,会出现说话漏风、口齿不清,让许多牙缺失患者不敢轻易开口。而且,面对各种美味佳肴,我们都没有了享用的福气,这对自己的心理会带来很大的打击。
 

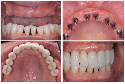
  种植满口牙多少钱?这要看我们选择什么样的。如果是传统的种植术,缺一个牙就要补一个牙,显然是很不划算的,种植满口牙的价格很高。而如果选择All-on-4种植术,半口缺牙只需要植入四个左右的牙根就能完成整体修复,全口缺牙只需植入八个左右的牙根,价格降低了很多。不过,All-on-4种植术在改善材料、设计、制作,以及专业医生的精密预备方面都有很高的要求,需要到正规的口腔医院进行。
 


 

  种植牙的总体价格要高一些,这是可以理解的。有些做过传统义齿的朋友,一张口就能发现红肿的牙龈伴有口腔异味,往往也伴有难看的黑线,这就是传统义齿的缺陷。而All-on-4种植术,带来的手术切口很细微,不仅可带来轻松的植入牙感受,还可强化植体的初期稳定性。种植牙对人体更安全,寿命也很长,性价比很高。
 

  因此,对于满口缺牙的朋友来说,种植牙的性价比显然是大大超过烤瓷牙的。而在种植牙当中,All-on-4种植术又是较好的,我们可以对此多一些了解。 还有不明白的,点击免费咨询,或者拨打24小时贝臣美牙热线0591-88681777咨询,贝臣齿科医生为您解答!

温馨提示:
病情因人而异,以上信息仅供参考,请您一定到专业正规医院,接受医生的诊断与治疗。贝臣齿科提供网络咨询预约平台,可以向在线人员咨询您的情况。

在线咨询预约医生

在线咨询(免费咨询)在线近距离

点击右侧按钮查看其它视频
点击右侧按钮查看其它视频

24H免费咨询电话

贝臣节假日无休

福州贝臣齿科 — 专做口腔

福州贝臣齿科是卫生部门批准成立的专业口腔诊疗机构。在全国各大城市CBD商务核心区...[详细]

推荐医生

  • 阿诺德·马丁贝臣齿科(中

  • 穆素花贝臣世茂院技

  • 林劲松贝臣世茂院牙

  • 陈振林贝臣世茂院正

  • 阿诺德·马丁贝臣齿科(中

  • 穆素花贝臣世茂院技

  • 林劲松贝臣世茂院牙

  • 陈振林贝臣世茂院正

口腔热门项目推荐

  • 牙齿种植
  • 牙齿矫正
  • 牙齿修复
  • 牙齿美白
  • 无痛治疗
  • 儿童齿科

来院路线

来院路线
地址:福州世茂国际中心1号楼3层(地铁茶亭站D出口)