微创种植牙怎么样
来源:贝臣齿科
2017-02-23 14:38
进入答疑区

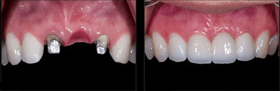
  想要具体了解微创微痛种植牙怎么样 点击【在线咨询】直接问医生!方便!快捷!种植牙术经过多年的发展,已经产生了不少的分支,适合各种不同的缺牙修复情况。其中,备受关注的就是近年来流行的微创种植牙,它特别适合年纪比较大,或者对微小疼痛都很敏感的患者,那么,下面我们就去看看,微创种植牙怎么样?直接与医院在线医师一对一通话,方便!快捷!了解详情就医指导。
 


 

  微创种植牙的概念包括两个层面:创口的微小和种牙过程的微创。在“微创”方面,该使用先进的三维软件辅助,在书术前设计方面更为有效,改变了以往种植牙手术“盲视”的局面,只有几毫米的创口,减少感染的几率,渗血量很少。
 

  在“微创”方面,它继承了微小创口带来的益处,即出血量少,痛感很微弱,加上碧兰麻麻醉、笑气微创麻醉技术的应用,能够大大缓解患者的紧张感,也加快创面的愈合速度及骨组织的再生,即使是年纪比较大的朋友,也可以放心选择种植牙。点这里,直接预约医生!方便快捷!
 

  微创种植牙怎么样?经过上面的介绍,我们应该有了大致的了解。此外,我们还可以拿它与传统固定义齿相比,传统固定义齿需要磨损相邻两颗好牙,实现"搭桥",为了镶一颗牙齿,牺牲了更多好的真牙,也让大家的痛苦比较大,而微创种植牙不需要磨牙,免去了这方面的“折磨”,更无须担心因之带来的其他危害。
 


 

  很多朋友也很关心微创种植牙多少钱,它的价格一般都是在几千元以上的,分为不同的档次,我们可以根据自己的需要进行选择。比如说,韩国奥齿泰和以色列MIS种植系统是很便宜的,而瑞典种植系统要贵一些,但是整体上差距不是特别大。
 

  由于各种种植牙术的发展,目前各个年龄段人群都可以采用种牙来修复缺牙。有些朋友虽然青睐于微创种植牙的优点,但是不想有几个月的空牙期,这时候就可以配合使用牙,能够在短时间内完成,让我们省去了往来奔波的麻烦。 还有不明白的,点击免费咨询,或者拨打24小时贝臣美牙热线0591-88681777咨询,贝臣齿科医生为您解答!

温馨提示:
病情因人而异,以上信息仅供参考,请您一定到专业正规医院,接受医生的诊断与治疗。贝臣齿科提供网络咨询预约平台,可以向在线人员咨询您的情况。

在线咨询预约医生

在线咨询(免费咨询)在线近距离

点击右侧按钮查看其它视频
点击右侧按钮查看其它视频

24H免费咨询电话

贝臣节假日无休

福州贝臣齿科 — 专做口腔

福州贝臣齿科是卫生部门批准成立的专业口腔诊疗机构。在全国各大城市CBD商务核心区...[详细]

推荐医生

  • 阿诺德·马丁贝臣齿科(中

  • 穆素花贝臣世茂院技

  • 林劲松贝臣世茂院牙

  • 陈振林贝臣世茂院正

  • 阿诺德·马丁贝臣齿科(中

  • 穆素花贝臣世茂院技

  • 林劲松贝臣世茂院牙

  • 陈振林贝臣世茂院正

口腔热门项目推荐

  • 牙齿种植
  • 牙齿矫正
  • 牙齿修复
  • 牙齿美白
  • 无痛治疗
  • 儿童齿科

来院路线

来院路线
地址:福州世茂国际中心1号楼3层(地铁茶亭站D出口)