21岁的陈云是某高校在校学生。她来自农村,从小就知道知识改变命运的道理,她不愿意以后还是像父母一样祖祖辈辈过着“面朝黄土,背朝天”的生活,她想要通过知识走出小山村。所以一直学习很刻苦,成绩也是名列前茅,她是以县城优异的成绩考上大学的,上了大学以后,她对未来的生活充满了憧憬和期待。》》点击免费咨询,或者拨打24小时齿科健康热线0591-88681777咨询,贝臣齿科为您解答。

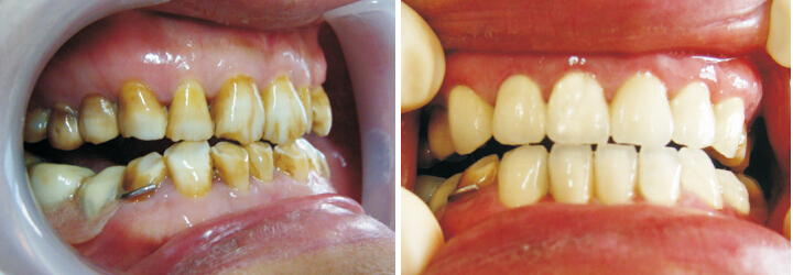
按理说,学习成绩 的陈云在学校应该是如鱼得水的,但是她也有自己难以启齿的苦恼。陈云家是在农村,可能是由于家乡的水质含氟量比较大,她们那里的人牙齿普遍比较黄,是典型的氟斑牙。之前只知道学习,而且家里的人都是这样的,所以她也没什么感觉。但是来到城市上学后,看到那些城市的孩子都有一口洁白整齐的牙齿,而自己的牙齿却是黄黄黑黑,特别难看。由于学习好,一直有优越感的她开始变的自卑,总是独来独往,不喜欢和别人接触。她总是自己上课、吃饭,没事儿就去图书馆看书,害怕的就是让别人看到自己难看的牙齿。
有一天,陈云在电子阅览室上网的时候无意中看到一个关于炫彩美白的广告,说是可以有效去除牙齿上的着色,能够美白牙齿。通过相关搜索,陈云对比了几家比较好的口腔医院,发现还是源自德国的贝臣齿科比较好,重要的是经济实惠,比较适合工薪阶层和学生。陈云来到贝臣齿科,牙齿美容医生通过详细的检查表示陈云的牙齿情况适合使用德国炫彩美白。》》点击咨询,详细了解德国炫彩美白。
贝臣医生介绍说:德国炫彩美白是目前比较流行的牙齿美白,贝臣齿科采用将高强度蓝光经特殊处理,可有效去除四环素牙、增龄性变色牙、氟斑牙、茶渍牙及其她变色牙牙齿表面及深层附着的色素,30分钟达到美白的效果,快速,完美舒适。

德国炫彩美白是很高效的,它的低温冷激光避免了对牙神经的刺激,对牙齿结构不会造成任何损害;不仅可以去除牙齿表面的色素沉积,同时可进入牙齿深层达到脱色的效果。除此之外,德国炫彩美白的价格是比较经济实惠的,更符合大众的消费要求。
如今的陈云再也不是当初刚来大学的样子了,她变得开朗爱笑,积极参与学校的社团活动,由于成绩 还被同学们推选为学生会的干部。她也深刻明白了大学不仅仅是学习知识,更重要的是学会做人的道理,知道怎样在社会上生存,不能总是独来独往,朋友很重要。我们也希望陈云同学能够在学校取得优异的成绩,有一个光明的未来。》》还有不明白的,点击免费咨询,或者拨打24小时贝臣美牙热线0591-88681777咨询,贝臣齿科医生为您解答。
在线咨询(免费咨询)在线近距离