随着大家对自身美丽形象的不断追求,越来越多人注重自己的牙齿美观问题,因此都想要做牙齿美白来改善牙齿美观问题,那么做牙齿美白前,我们需要了解其相关注意事项。

那么,牙齿美白是什么?
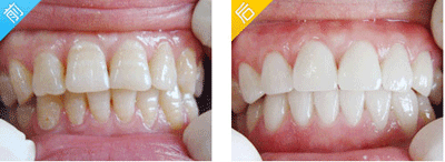
牙齿美白的通过将化学氧化性漂白药物放在牙齿表面或内部,与牙齿发生化学反应使牙齿本身的颜色变白,或用物体粘附在牙齿表面遮盖牙齿本色,使牙齿颜色变白的过程。
贝臣齿科医生介绍说,牙齿美白是现在一个非常流行的牙齿修复方法,可以有效解决氟斑牙、四环素牙、色素沉淀、牙釉质发育不全、龋齿、死髓牙等问题牙齿,那么求美者需要了解清楚其注意事项,才能达到理想的效果。
禁忌症:
年龄在16岁以下人士、孕妇与严重的牙周病患者将不适合冷光美白;伴有釉质发育不良的重度的四环素牙、氟斑牙、或者其他因素引起的变色牙,可能会引起患者较大的不适感,不是冷光美白的适应症;死髓牙漂白治疗后褪色很快,不适合做冷光美白。
做完牙齿美白后,求美者24小时内避免喝冷热饮,避免牙齿染上有色物质,避免饮用茶、咖啡、可乐、红酒等有色饮料,同时避免吸烟。
术后,可能出现牙齿的敏感情况,如出现较明显不适,可在医生指导下服用止痛药;牙齿敏感情况会在治疗后6~24小时消失。
在线咨询(免费咨询)在线近距离